
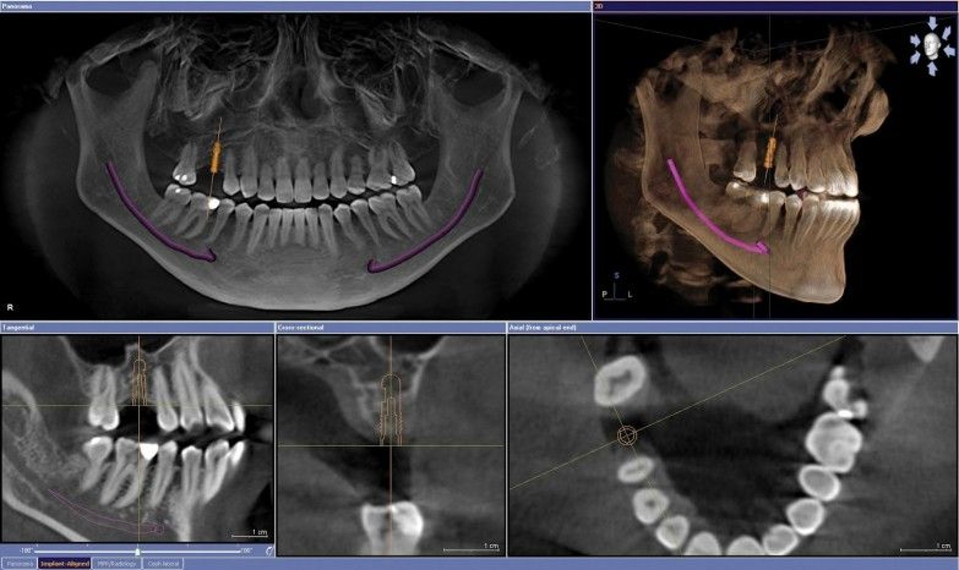
IMPLANTOLOGIA
La mejor forma de reemplazar un diente perdido es mediante la colocación de un implante dental, muestra de ello es la rehabilitación natural que este permite. 🦷 #implanteDental #saludDental
Una corona individual implantosoportada, emerge desde la parte interna de la encía, dedicando naturalidad al máximo.

© 2025. All rights reserved.
